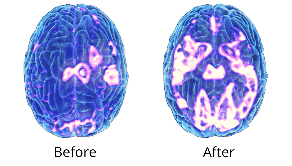
TMS (transcranial magnetic stimulation) is designed to help people who suffer most from depression to start feeling better again.
of Patients
See Improvement
Million
Treatments Administered
of Patients
Reach Remission

Benjamin
"Of all the mental-health services I’ve tried in the Jacksonville area, this clinic has been the clear standout. I’ve never felt judged only welcomed by courteous, attentive staff and every one of the three providers I’ve seen has been skilled and supportive. While no place is perfect and people’s experiences will vary, I’d encourage you to take negative reviews with perspective; sometimes they reflect individual grievances or a misplaced sense of entitlement more than the quality of care offered here."
- Benjamin

Blane
"Dr. Cross, Dr. Cox, Melissa the wonderful person who manages any and all tasks related to keeping the office functioning~including helping get messages to and fro and medication assistance. super amazing, compassionate and helpful people. Thank you for helping our daughter."
- Blane

Alexis
"Being seen at Carolina Psychological Health Services has been life-changing! Not only has their treatment worked tremendously, but they are regularly watching for improvement and communicating with me on any changes that might be needed for optimal results. Dani is very nice, knowledgeable and really goes out of her way to ensure I receive the best treatment possible. I would highly recommend giving them a call if you are in need of any service they provide."
- Alexis
Transcranial Magnetic Stimulation uses strong, magnetic pulses distributed through a coil
to regulate the neural activity of brain structures associated with depression.


While you may feel slight pressure on top of your head, most patients adapt to the sensation after just a couple of sessions.

Rest assured, you do not have to start a new medication regimen throughout TMS.

An analysis of 1,753 patients showed that the average patient achieved a sustained response after just 16 treatments.

About 83% of patients who complete a full course of TMS show a clinically meaningful response and about 62% experience a remission, meaning their symptoms go away completely.

Sessions are about 20 minutes and you can drive to and from your appointments. The full course covered by insurance usually takes about 6-8 weeks to complete.

All major payers cover TMS treatment for Depression. If you've tried multiple antidepressants and therapy, there's a good chance your insurance covers it.

Schedule
Call the office, fill out a form, or book directly to request a consultation.

Meet
30 Minutes
We'll talk through your medical history and symptoms. You'll receive a personalized treatment plan, with insurance approval before starting.

Map
45 Minutes
During your first session, we determine device position to ensure the most effective treatment for you. This process is known as "mapping".

Treat
20 Minutes
Relax during treatment. After each session, you'll be able to resume your daily routine immediately.
Located in Jacksonville
